- L'utilisation du PRP (plasma riche en plaquettes) pour augmenter le taux de réussite de la FIV améliore l'endomètre et l'insuffisance ovarienne prématurée
- Technologie de procréation assistée (ART) - Fécondation in vitro - I.V.F, injection intracytoplasmique de spermatozoïdes - ICSI et insémination intra-utérine (IUI)
- Fertilisation d'InVitro - F.I.V
- intracytoplasmique de spermatozoïdes - Indications - techniques et applications - ICSI
- Procédures liées à la FIV - Cryoconservation - Congélation d'embryons - Syndrome d'hyper stimulation ovarienne - SHO
- Insémination intra-utérine - taux de réussite - risques - utilisations - IUI
- Taux de réussite de la FIV - ICSI - TESA - TESE - Taux de réussite IUI
- Injection intracytoplasmique de spermatozoïdes morphologiquement sélectionnés - IMSI. Technologie récente de FIV et comment elle améliore les résultats ICSI
- Embryo Glue - Augmentation du succès de la FIV - technologie récente de FIV
- Éclosion assistée - Éclosion d'embryons assistée par FIV
- Culture de blastocystes - Culture étendue jusqu'au stade de blastocyste Transfert d'embryons du cinquième jour
- FIV, échec ICSI - Traitement de l'échec de la fécondation in vitro - qu'est-ce que l'échec de la FIV
- Diagnostic génétique préimplantatoire - vue d'ensemble, indications et conditions, processus - Diagnostic préimplantatoire par biopsie embryonnaire
- FIV - Fécondation In Vitro Foire Aux Questions
- Ovocytes fécondés et photos de embryons
- Visite du laboratoire de FIV - Différentes procédures effectuées dans le laboratoire de FIV
- Maturation et développement des ovocytes - Oocytes à différents stades - Photos de sperme
- ICSI physiologique - Sélection physiologique de spermatozoïdes pour ICSI (PICSI)
- Extraction microchirurgicale de sperme du testicule - Extraction microchirurgicale de spermetesticulaire (Micro-TESE)
- L'ART de la fécondation in vitro - A.R.T. de Making Babies - l'espoir dans le cœur des couples qui souffrent d'infertilité
- Comment augmenter la fertilité pour les hommes et les femmes pour la conception naturelle et la FIV - augmenter les taux de réussite de la FIV
- Sélection du sexe avant la grossesse | Comment devenir enceinte d'un garçon ou d'une fille | Sélection du sexe | Choix du sexe de votre enfant
- Repos au lit après le transfert d'embryons bénéfique ou nocif
- Innovation microfluidique pour le tri des spermatozoïdes (MFSSI)
- Cryoconservation des ovocytes (ovocytes glaciaux)
- ROSI (injection de spermatide ronde)
- Activation électrique des ovocytes
- Méthodes pour améliorer la muqueuse utérine avant le transfert d'embryons
- Dévoiler le facteur masculin : comment le vieillissement et les défauts du sperme influencent le succès de la FIV
- Procédures qu'un patient doit suivre après une fécondation in vitro-FIV
- À quels symptômes un patient peut-il s'attendre pendant un programme de FIV
- FIV après 40 ans : succès et défis liés au mariage tardif
- Mythes courants et faits sur la FIV
- Comprendre le transfert d'embryons en FIV : frais VS congelés
- Faire face à l’échec de la FIV
- Instructions à suivre avant la récupération des œufs
- Classement des embryons : que signifient les scores
- Se préparer à un cycle de FIV
- Qualité des œufs 101 : ce que chaque femme devrait savoir
- Erreurs fréquentes pouvant réduire les chances de grossesse après une FIV
- Infertilité - Incapacité à concevoir - Guide d'infertilité - Guide de reproduction | Guide pour devenir enceinte
- Fertilisation - Potentiel de Fertilité
- Causes de l'infertilité chez les femmes - facteur féminin dans l'infertilité
- Causes de l'infertilité chez les hommes - Facteurs masculins dans l'infertilité
- Diagnostic de l'infertilité chez la femme - Diagnostic de l'infertilité féminine
- Diagnostic de l'infertilité chez les hommes - Diagnostic de l'infertilité masculine
- Traitement de l'infertilité - Traitement de l'infertilité féminine - Traitement de l'infertilité masculine
- Comment augmenter la fertilité pour les hommes et les femmes pour la conception naturelle et la FIV - augmenter les taux de réussite de la FIV
- Tabagisme et infertilité - Tabagisme et fertilité - Arrêter de fumer augmente votre fertilité
- Effet de la varicocèle sur l'infertilité et sa gestion
- Compléments alimentaires naturels pour stimuler la fertilité, aliments favorisant la fertilité
- Adhérences pelviennes - Adhésions pelviennes et infertilité
- Stress et infertilité - Comment le stress affecte-t-il la fertilité
- Symptômes - causes et traitement du syndrome des ovaires - olykystiques - SOPK
- FAQ Patients PCO - Réponses aux questions fréquemment posées sur le syndrome des ovaires polykystiques
- Infertilité Questions Souvent Posées
- Les développements actuels et futuristes dans Le traitement de fertilité
- Questions Souvent Posées
- Facteurs étranges qui pourraient affecter votre fertilité
- Corrélation du sommeil avec l'infertilité masculine
- Hypogonadisme hypogonadotrope masculine
- Causes génétiques de l'infertilité masculine
- Définition, types, signes et symptômes des kystes ovariens - Causes des kystes ovariens, complications, diagnostics, prévention et options de traitement
- Sélection du sexe avant la grossesse - Comment devenir enceinte d'un garçon ou d'une fille - Sélection du sexe - Choix du sexe de votre enfant
- L'anémie et sa relation avec la fertilité, Le groupe sanguin et son effet sur la fertilité féminine
- Insuffisance ovarienne prématurée (échec)
- Comment tomber enceinte de jumeaux
- Réserve ovarienne
- L'impact de l'infertilité sur la relation entre conjoints
- Traitement sclérosant des Endométriomes
- L’impact de l’obésité sur la fertilité
- Avoir des filles : Quand les femmes excellent dans l'art de donner
- Infertilité inexpliquée (un défi clinique en médecine reproductive)
- Suivi de la fenêtre fertile
- Des choses que nous faisons quotidiennement et qui peuvent retarder une grossesse sans que nous nous en rendions compte.
- Guide de Grossesse
- Mois de grossesse par mois
- La Première Grossesse de Mois - 1 mois enceinte
- La Deuxième Grossesse de Mois - 2 mois enceintes
- La Troisième Grossesse de Mois - 3 mois enceintes
- La Quatrième Grossesse de Mois - 4 mois enceintes
- La Cinquième Grossesse de Mois - 5 mois enceintes
- La Sixième Grossesse de Mois - 6 mois enceintes
- La Septième Grossesse de Mois - 7 mois enceintes
- La Huitième Grossesse de Mois - 8 mois enceintes
- La Neuvième Grossesse de Mois - 9 mois enceintes
- Le conseil pour les Femmes Enceintes - les Bouts Pour les Femmes Enceintes
- Les brûlures d'estomac pendant la grossesse
- Sélection du sexe avant la grossesse - Comment devenir enceinte d'un garçon ou d'une fille - Sélection du sexe - Choix du sexe de votre enfant
- Le Diabète Gestationnel (Diabète durant la grossesse)
- Causes Classification et Traitement de la Paralysie Cérébrale
- Sang du Cordon, Collection de sang du cordon ombilical
- Grossesse extra-utérine
- Contraception – Différentes Contrôles de naissance
- Hémorroïdes en Grossesse
- Causes de fausses-couches récurrentes
- La constipation - La constipation pendant la période de grossesse
- La sexualité pendant la période de grossesse
- L'anémie dans la grossesse
- Les Exercices de Grossesse
- la grossesse Après 35
- 7 la plupart des toxines fréquent pendant la grossesse qui affectent la santé de votre enfant et Comment les éviter
- Anterior Placenta pendant la grossesse - Tout ce que vous devez savoir
- Soins de santé bucco-dentaire pendant la grossesse
- Régime post-grossesse
- Grossesse molaire
- 5 recettes de petit déjeuner savoureux qui annulera vos envies de grossesse blues détectables tous les jours
- Travail prématuré
- Changements de la vision pendant la grossesse
- 7 conseils de soins de la peau à suivre pendant la grossesse
- Lupus érythémateux disséminé (LED) pendant la grossesse
- 5 façons de faire face aux maux de dos pendant la grossesse
- Nutrition des femmes enceintes
- Virus Corona et grossesse
- Dispositif contraceptif intra utérin (DIU)
- Cas intéressants
- Les chats et la grossesse
- Grossesse et amniocentèse
- Mariage consanguineux
- Version céphalique externe ECV
- Grossesse après une fausse couche
- Obésité et grossesse - Prise de poids pendant la grossesse et après l'accouchement
- Nausées et vomissements pendant la grossesse ou hyperemesis gravidarum
- Stéroïdes pour la maturité pulmonaire fœtale
- Accouchement naturel après césarienne lors d'une grossesse précédente
- Insertion de points de suture cervicale pour la prévention des accouchements prématurés et des fausses couches au deuxième trimestre
- Livraison instrumentale (vide et pince)
- Tabagisme et grossesse
- Diminution du mouvement fœtal
- Stress pendant la grossesse
- Cancer du sein pendant la grossesse
- Taux élevés de sels biliaires pendant la grossesse - Cholestase obstétricale
- Examen du matériel génétique fœtal dans le sang de la mère pendant la grossesse (test d'ADN fœtal libre)
- Mains engourdies pendant la grossesse
- Thalassémie et grossesse
- Jeûne et grossesse
- Soins préconceptionnels
- Anticorps atypiques, facteur Rh et injection d'anti-D
- Mouvement fœtal
- Kystes ovariens pendant la grossesse
- Retard de croissance fœtale pendant la grossesse
- Mort fœtale au troisième trimestre de la grossesse
- Oligohydramnios
- Troubles du sommeil pendant la grossesse
- Maladies cardiaques pendant la grossesse
- Que faut-il éviter pendant la grossesse
- Problèmes rénaux pendant la grossesse
- Le placenta : l'usine cachée de la vie
- Bactéries streptocoques du groupe B (SGB) PENDANT la grossesse
- Pré-éclampsie et hypertension de grossesse
- Sepsis pendant la grossesse
- Naissance par césarienne
- Grossesse gémellaire
- Santé mentale pendant la grossesse
- Aliments à éviter pendant la grossesse
- Cerclage cervical
- Avoir des filles : Quand les femmes excellent dans l'art de donner
- Situations qui nécessitent de se rendre aux urgences pendant la grossesse
- Exemples de recommandations alimentaires pour les femmes enceintes pendant le Ramadan
- Anxiété pendant la grossesse
- Saignements au cours du premier trimestre de grossesse : est-ce toujours le signe d’une fausse couche
- Vaccination pendant la grossesse
- Gonflement corporel pendant la grossesse : ses causes et quand s'inquiéter
- Gonflement corporel pendant la grossesse : ses causes et quand s'inquiéter
- Envies/aversions intenses pendant la grossesse
- Reconnaître les signes avant-coureurs pendant la grossesse
- Changements physiologiques pendant la grossesse
- Datation de la grossesse
- Rôle des anomalies chromosomiques dans les complications de la grossesse
- Conseils pour les femmes enceintes pendant l’Aïd
- Infections des voies urinaires pendant la grossesse
- L'accouchement
- Préparations à la naissance
- Instructions Après la Livraison
- Les Exercices Post-natals - les Exercices après la livraison
- Caractéristiques Nouveau-nées
- La Profession d'infirmier de Votre Bébé et Soin Nouveau-né
- Les stades de développement de bébé
- L'Analgésie Épidurale Dans Travail
- 5 Science-Fort Up avantages de l'allaitement Plus de Formule alimentation
- Plan pour le programme d'alimentation de bébé parfait
- Dépression chez les femmes et dépression post-partum
- Hémorragie post-partum (prévention et traitement)
- Soins génitaux (pubiens) après une épisiotomie
- Activité physique tout au long de la première année post-partum
- Signes que le travail est proche
- Construire un plan d'accouchement : un guide pour les femmes enceintes
- Les désordres et maladies gynécologues
- Système Reproducteur Femelle
- Système Reproducteur Mâle
- Liens vers divers articles en gynécologie et obstétrique
- Incontinence Urinaire
- Définition des kystes ovariens, types, signes et symptômes, causes des kystes ovariens, complications, diagnostics, prévention et options de traitement
- Les causes pour la perte de libido femelle et comment les façons de le faire mieux
- symptômes-causes-complications-traitements-et-pronostics-de-l-endométriose
- Fibromes utérins, types, caractéristiques cliniques, causes, diagnostic, options de traitement et de prise en charge
- Dispositif contraceptif intra utérin (DIU)
- Anomalies des conduits mullériens - Anomalies utérines - anomalies congénitales de l'appareil génital féminin
- Ménopause - Traitement hormonal substitutif (THS)
- Le clonage humain Mythe ou Réalité options et applications
- Hystérectomie - Indications, procédures et complications - Ablation chirurgicale de l'utérus ou de l'utérus
- Labiaplastie - Chirurgie plastique des organes génitaux féminins - réparation pelvienne
- Les suppléments diététiques pour les femmes
- L'Hygiène de Région Génitale - Vulvar et l'Hygiène Vaginale
- La Prévention de Cancer Cervical
- Le Vagin - le Renvoi Vaginal - l'infection Vaginale
- L'élargissement de mamelle - l'Augmentation de mamelle
- Point G - Amplification du point G - Augmentation du point G
- Questions liées à des sujets sexuels
- La contraception - la Différente Régulation des naissances
- FAQ Patients PCO - Réponses aux questions fréquemment posées sur le syndrome des ovaires polykystiques
- Les instructions pour les patients qui programment pour la chirurgie
- SPM (syndrome prémenstruel)
- Vidéos de l'information médicale de base
- Injection plasma pour l'incontinence urinaire
- Saignement post-ménopausique
- Maladie inflammatoire pelvienne (PID)
- Attraction sexuelle et attrait pour les autres
- Douleur pelvienne chronique
- Peau foncée éclaircissante autour de la zone pubienne
- Soins des plaies après la chirurgie
- 6 choses de bien-être les femmes de plus de 40 ans devraient se méfier
- Cas rares en gynécologie | Dr Najeeb Layyous
- Filles puberté
- Utérus infantile/hypoplasique
- Dysménorrhée. Causes et traitements
- Augmentation de l'épaisseur de l'endomètre
- Combattre la prise de poids pendant la ménopause
- Façons naturelles de traiter les symptômes de carence hormonale pendant la ménopause
- Infections urinaires récurrentes
- Le pH vaginal et sa relation avec la santé reproductive
- Traitement sclérosant des Endométriomes
- Bactéries vaginales bénéfiques
- Quand consulter un gynécologue
- Mythes et réalités concernant l'hygiène vaginale
- Vieillissement chez la femme et désir sexuel
- Maladies sexuellement transmissibles et verrues
- Avoir des filles : quand les femmes excellent dans l’équilibre du don
- Règles abondantes
- Cancer de l'ovaire
- Cancer de l'endomètre
- Œstrogène : le chef d'orchestre des hormones dans le corps de la femme
- Douleurs pendant les rapports sexuels : apprenez-en les causes et retrouvez votre confort.
- Stress et ovulation : un dialogue caché entre le cerveau et les ovaires
- L’acné sous un angle gynécologique
- Éducation sexuelle : renforcer les connaissances, la confiance et des sociétés saines
- Questions fréquentes sur les menstruations
- Utilisation de pilules hormonales pour retarder les règles pendant le Ramadan
- Contraception d'urgence
- puberté précoce
- Plantes médicinales et santé des femmes
- Chirurgie laparoscopique - Indications et utilisations de la laparoscopie gynécologique Détails de la procédure
- Hystéroscopie - Hystéroscopie pour l'infertilité
- Les instructions pour les patients qui programment pour la chirurgie
- Résection hystéroscopique d'un septum utérin pour fausses couches à répétition
- Ablation de l'endomètre
- Chirurgie gynécologique robotisée
- Les Photos d'Ultrasons du visage du fétus
- 3D Photos échographie du profile du fœtus
- Photos de bébés prises avant et après la naissance
- 3D Photos échographie des parties du fœtus
- 3D Photos échographie des membres du fœtus
- 3D Photos Ecographie du Premier Trimestre
- 3D Photos échographie du comportement du fœtus
- 3D Photos échographie de grossesse multiple
- 3D second trimestre échographie Photos de numérisation
- 3D Photos échographie du squelette du fœtus
- Les avantages cliniques de l'échographie 3D et 4D
- Questions se rapportant aux quatre dimensions de l'échographie
- Définition et les Caractéristiques de Quatre Ultrasons Dimensionnels
- Utilisations de 4D d'Ultrasons Dimensionnel
- History of the development of Ultrasound in Obstetrics and Gynecology Dr. Joseph Woo
- Le comportement du fœtus pendant la grossesse
- Commencer l'album photo de votre bébé
- L'importance de l'échographie 4D pendant la grossesse
- Clips vidéo 4D scan ultrason fœtal
- Clips vidéo de l’hystéroscopie
- Vidéos des Opérations Laparoscopie
- Clips vidéo de grossesse
- Clips vidéo de la Jordanie
- La construction du site Web
- L'Internet Pour le Médecin
- Entrevue le Dr Najeeb Layyous avec la Jordanie TV
- Dr Najeeb Layyous Entretien avec Qatar télévision
- Vidéos de l'information médicale de base
- Images FIV et ICSI
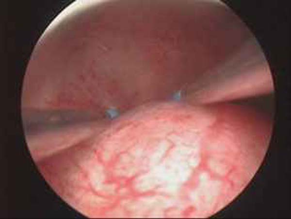
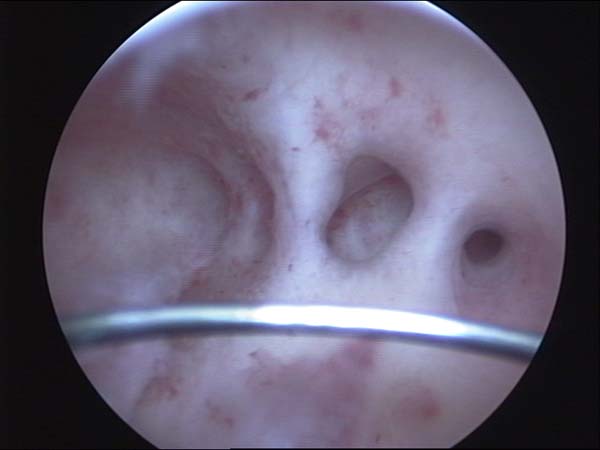
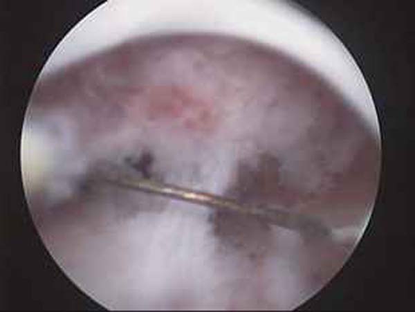
- Photos de l’hystéroscopie
- Photos Laparoscopie 1
- Photos Laparoscopie 2
- Photos Laparoscopie 3
- Photos Laparoscopie 4
- es Photos d'Ultrasons du visage du fétus
- 3D Photos échographie du profile du fœtus
- 3D Photos échographie des parties du fœtus
- 3D Photos échographie des membres du fœtus
- 3D Photos Ecographie du Premier Trimestre
- 3D Photos échographie du comportement du fœtus
- 3D Photos échographie de grossesse multiple
- 3D second trimestre échographie Photos de numérisation
- 3D Photos échographie du squelette du fœtus
- 3D Photos échographie de grossesse pour obstétriciens
- Jordan universités
- Hôpitaux jordan
- Lieux touristiques en Jordanie
- Agences de voyages
- Jordanie – Faits et chiffres relies à la Jordanie
- Musées et Galléries d’art en Jordanie
- Numéros de téléphones d’urgence en Jordanie
- Bureaux de compagnies aériennes en Jordanie
- Missions diplomatiques en Jordanie
- Indicatifs téléphoniques internationaux
- Les numéros de téléphone des ministères en Jordanie
- Les Agences immobilières en Jordanie
- Banques en Jordanie
- Une sélection de restaurant à Jordanie
- Les Agences pour louer de voiture en Jordanie
- Centres Culturels en Jordanie
- Hôtels en Jordanie
- Des informations sur la Jordanie & des Liens
- À propos du Dr Najeeb Layyous
- Lieu du Centre
- Consultation en gynécologie et infertilité
- Contactez la clinique du Dr Najeeb Layyous ou prenez rendez-vous
- Website Awards
- Une histoire complète des contributions de Najeeb Layyous à la gynécologie, à l'obstétrique et au traitement de l'infertilité
- Un aperçu de votre voyage dans la clinique laïque du Dr Najeeb
Photos de l’hystéroscopie | Dr N Layyous
Last Update: 2021-04-08 01:16:57
- Plantes médicinales et santé des femmes
- Infections des voies urinaires pendant la grossesse
- Erreurs fréquentes pouvant réduire les chances de grossesse après une FIV
- Des choses que nous faisons quotidiennement et qui peuvent retarder une grossesse sans que nous nous en rendions compte.
- Qualité des œufs 101 : ce que chaque femme devrait savoir

Pregnancy Due Date Calculator
Chinese Gender Predictor
Ovulation Calculator
IVF Due Date Calculator
